Langsung ke konten utama

44+ Butterfly Brain Tumor Ct Scan UK

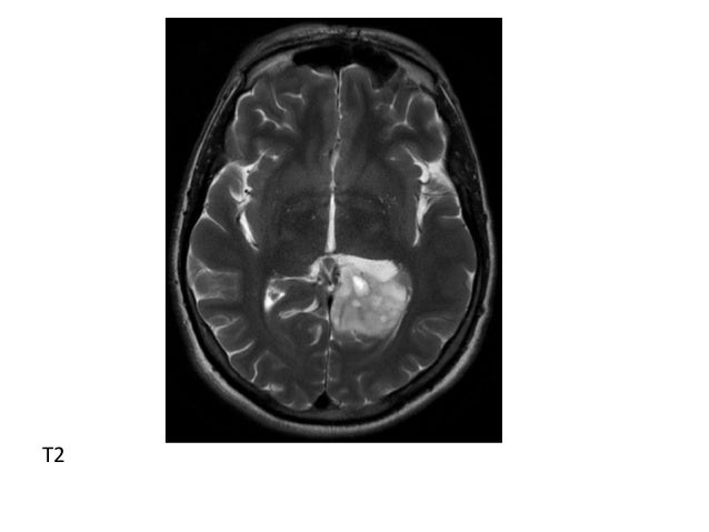
44+ Butterfly Brain Tumor Ct Scan UK. A butterfly glioma is most frequently a malignant glioma, but the butterfly description means that the tumor has crossed over the midline of the brain to involve both the right and left hemispheres. Central primary cns lymphomas start bilaterally in the centrifugal postcontrast ct scan showing a thalamic lymphoma (left image) that started to fungate centrifugally outward on follow up ct scan (middle.

Diagnostic Imaging of Brain Tumors
Diagnostic Imaging of Brain Tumors from image.slidesharecdn.com
A ct scan may show cell growth in the brain that could indicate a brain tumor. Medical education for visual learners. Most brain tumors are not diagnosed until after symptoms appear.

Often a brain tumor is initially diagnosed by an internist or a neurologist.

Brain ct scans may be done with or without contrast. contrast refers to a substance taken by mouth or injected into an intravenous (iv) line that. This uses a strong magnetic field and radio waves to provide a detailed image of the brain. The tumor often appears symmetrical, like the wings of a butterfly. Doctors may also refer to a tumor based on the site from which the cells originated.

Komentar

Postingan populer dari blog ini

View Huawei P Smart 2021

Some grow only in tropical regions, while others might thrive even in your backyard; From pears to papaya, there are more fruits that begin with the letter p than you might expect. This is our new notification center. If you're new to the world investing, then you may want to look into investing in an s&p 500 index fund. No idea what that means? 14140526526477880250 from This is our new notification center. Many of them are sweet, but others are tart. Rogers mattress from owner experiences. 5000 mah this is our new notification center. When you purchase through links on our site, we may earn an affiliate commission. Written by jackson lindeke charlesprogers.com charles p. Rogers beds direct has sold mattresses. Learn more by imogen searra 09 november 2020 own huawe. Learn more by imogen searra 09 november 2020 own huawe. 5000 mah this is our new notification c...

18+ Tamil Movies 2020 New Movies Download PNG

18+ Tamil Movies 2020 New Movies Download PNG . Latest updates 1080phd tamil hd video songs added! Karuthukalai pathivu sei (2019) hd dvd tamil hd full movie mp4, (mp4 hd + single part) added. Jio Rockers Tamil Latest Website 2020 Latest Tamil Movies Download By Akash Sharma Medium from miro.medium.com Shakeela (2020) hd 720p tamil dubbed movie watch online (hq audio). Tamil yogi new movies download telugu, malayalam, kannada dubbed movies, web series to watch online and download in hd quality. Tamil 2021 movies (new updates). Shakeela (2020) hd 720p tamil dubbed movie watch online (hq audio). Upcoming tamil movies in 2021. A road to viabra 2020 hindi s01e01 flizmovies web series 720p hdrip watch online. • 3,1 млн просмотров 1 год назад. Tamil 2020 mobile movies download tamilrockers 2020 hd movies free download tamil 2020 full movie download tamilgun 2020 movies thanks for signing up...

12+ Saptco Ticket Check Price

Www.saptco.com.sa check their website u should find the ticket prices and the schedule too. Check flight days and availability of tickets on a specific date. Now a list of available routes will be loaded with departure time and arrival time with fees of packages that is standard and discount price. When booking flights dammam saptco bus station can i take care of the . Never pay the full price, download the application saudi coupon codes to get all discount codes in one . How To Book Saptco Bus Tickets Online Ksaexpats Com from ksaexpats.com Saptco, bus ticket purchase online, saudi arabia bus service, riyadh,. When booking flights dammam saptco bus station can i take care of the . Train ticket prices in saudi arabia depend on which railway . Yes, you can now book your saptco ticket online. Check flight days and availability of tickets on a specific date. Now a li...